心脏磁共振检查
东方总院能做了
为了满足医院
临床科室和心脏病患者
对心脏磁共振检查的需求
2022年7月
总院医学影像科
正式开展心脏磁共振(CMR)检查

心脏磁共振
是除心脏彩超、冠脉CTA之外的
另一种先进检查技术
具有无X线辐射、任意平面成像的优势
是集形态、灌注、功能及分子成像
于一体的成像技术
由于心脏磁共振技术难度大
被称为专业领域的“天花板”
目前此项检查
只在为数不多的大型综合医院开展

东方总院心脏磁共振检查新技术
在心内医疗中心院长
李枫团队大力支持下
由医学影像医疗中心院长
学科带头人陈忠主持攻关
胸部亚专业学组、技术组、护理组
紧密配合完成
展现了团队较强的医教研能力


陈忠院长介绍
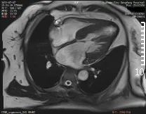
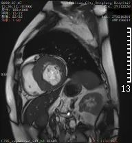
心脏磁共振能够对
心肌病、冠心病、先心病
心脏瓣膜病、心包疾病、心脏肿瘤
等病变进行诊断及鉴别诊断
在心脏形态与功能、心肌评估中
具有优势
对淀粉样心肌病、致密化不全心肌病等
具有独特诊断优势
半个月的时间,东方总院
已成功检查和诊断心脏病变3例



东方医院集团总院
在市内率先开展心脏磁共振检查技术
将为心脏病患者提供
全面的一站式心血管影像学检查
更好地服务广大患者

24小时服务电话:0554-6895999纪委:0554-6895236投诉办:0554-6895132
医院地址:安徽省淮南市洞山老龙眼
Copyright © 2026淮南东方医院集团
微信公众号
手机版


微信公众号

手机版
