近日,淮南东方医院集团谢桥医院骨科为一名94岁的鲐背老人李奶奶实施了高难度复杂手术——“右侧股骨干骨折切开复位内固定术”。手术进展顺利,术后老人恢复良好。

据了解,李奶奶于2021年7月8日在家不慎摔倒,导致右侧髋部疼痛、活动受限。经家人介绍,来到谢桥医院就诊。现场判断为“右侧股骨粗隆间骨折”,加之考虑到患者年龄、骨质等情况,立即被安排入院治疗。后经手术修复,2021年7月19日康复出院。

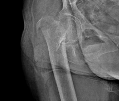
这次李奶奶在家中不慎摔倒,伤至右大腿,因语言功能障碍,未能及时被家人发现。次日在被家人发现其右大腿肿胀后, 2023年8月14日再次送至谢桥医院骨科进行治疗。经检查,诊断为“右股骨干骨折”。

入院后,谢桥医院骨科团队一边为李奶奶完善相关检查等治疗,一边进行多学科会诊紧急讨论。考虑到李奶奶是高龄骨折,同时在此之前已经进行过一次关节置换,针对这些手术难点,以及术中可能出现的突发情况,术前谢桥医院骨科团队经过反复讨论,并与其家属沟通后,最终确定了严密的手术计划和全面的治疗方案,决定为李奶奶施行“右侧股骨干骨折切开复位内固定术”。目的便是为了提高术后康复效果,极大程度减少并发症。

术后,李奶奶的病情平稳,恢复良好。谢桥医院骨科的护理团队悉心为李奶奶进行了专业护理,指导其做好术后各阶段的康复训练,目前李奶奶已经平安出院。
2023年8月30日上午,李奶奶的家属欣喜地送来一面锦旗并表示:“两次手术,难度一次比一次大,这次更是达到超预期效果,很感激谢桥医院的骨科医护人员,他(她)们医术精湛!服务态度好!对待患者如亲人一般!”

谢桥医院骨科建议:有老人的家庭,不管是在家还是外出,都要特别关注与重视老年人摔倒问题。若不慎摔倒,需尽快赶往医院就诊,通过专业的治疗、细致的康复指导,能够很大程度改善老年骨折患者的生活质量,减少家庭负担。
24小时服务电话:0554-6895999纪委:0554-6895236投诉办:0554-68695132
医院地址:安徽省淮南市洞山老龙眼
Copyright © 2025淮南东方医院集团
微信公众号
手机版


微信公众号

手机版
