在健康问题日益受到重视的今天,脑血管疾病始终是威胁人们生命与生活质量的一大“劲敌”。淮南东方总院神经外科勇担使命,凭借精湛医术与前沿理念,近期开展一系列针对脑血管疾病的手术,尤其是通过个性化定制治疗方案,为患者点亮希望之光。

吴全主任介绍说:脑血管疾病,简单来说,是指由于各种原因导致脑血管发生病变,进而影响脑部正常血液供应和功能的一大类疾病。常见的脑血管疾病中,包括颅内动脉瘤、脑血管畸形、烟雾病、颈内动脉狭窄、脑出血、脑梗死等,一旦发病,来势汹汹,后果严重,危及生命。




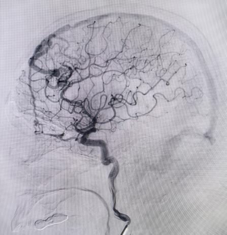
颈内动脉剥脱患者的经历,便是个性化治疗的有力见证。这位患者辗转多家医院,被诊断为颈内动脉狭窄,来到淮南东方总院。神经外科医疗中心张德辉院长团队深知手术风险与难度,先为其进行脑血管造影,精准掌握血管病变情况。随后,在全麻下为患者施行颈内动脉剥脱术。手术过程中,医生凭借高超技艺,小心翼翼地操作,避开周围复杂的神经和血管,将颈内动脉斑块完全剥离,术后颈内动脉血流再通良好。


术后,患者恢复良好,重新回归正常生活,脸上再次绽放笑容。

另一位烟雾病患者,5个月前因脑出血查出双侧烟雾病,在外院治疗。3个月前,为进一步治疗烟雾病,遂来我院,由于出血在右侧,医疗中心吴鹏副院长率领团队为其先行右侧烟雾病搭桥手术。手术精细复杂,需要将头皮动脉血管与脑表面血管精准缝合,恢复脑部血供。术后患者恢复满意,此次再次来行左侧烟雾病搭桥手术。每一步治疗,都根据患者病情变化与身体恢复情况精心规划。


硬脑膜动静脉瘘患者同样在个性化方案中重获新生。患者因反复头晕,在外院怀疑静脉畸形,来到东方总院后,脑血管造影明确为硬脑膜动静脉瘘。通过详细的沟通,家属选择介入栓塞,吴全主任团队采用介入打胶栓塞的治疗方式,精准地堵住异常血管,一次性完全栓塞,术后患者头晕症状消失,生活质量大幅提升。




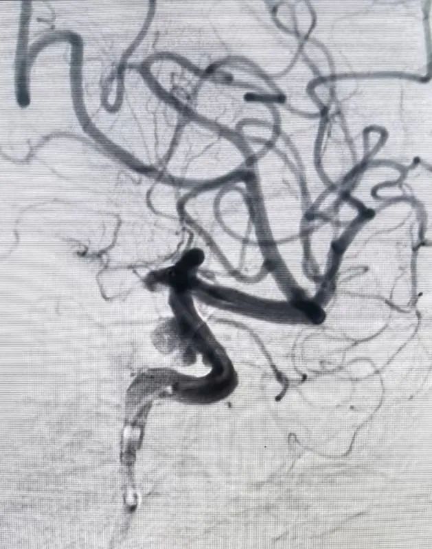
面对大动脉瘤且血管条件差的患者(腹主动脉S型迂曲,右侧颈总动脉II型牛角弓),以及颈内动脉多发动脉瘤的不同患者(C5-C7有5枚动脉瘤),吴全主任团队运用密网支架对症治疗,用一个支架巧妙解决大动脉瘤或多个动脉瘤难题,效果良好,患者短时间内快速恢复。






对于非责任动脉瘤的处理,医生们更是展现出专业与耐心。9个月前,患者动脉瘤破裂出血,当时造影发现2处动脉瘤,术中优先处理责任动脉瘤,待患者身体恢复后择期处理非责任动脉瘤。此次处理非责任动脉瘤,手术中造影,发现责任动脉瘤栓塞术后复发(3月前复查尚无),医生们当机立断,同期处理两个动脉瘤,省钱的同时,也成功为患者解除隐患。







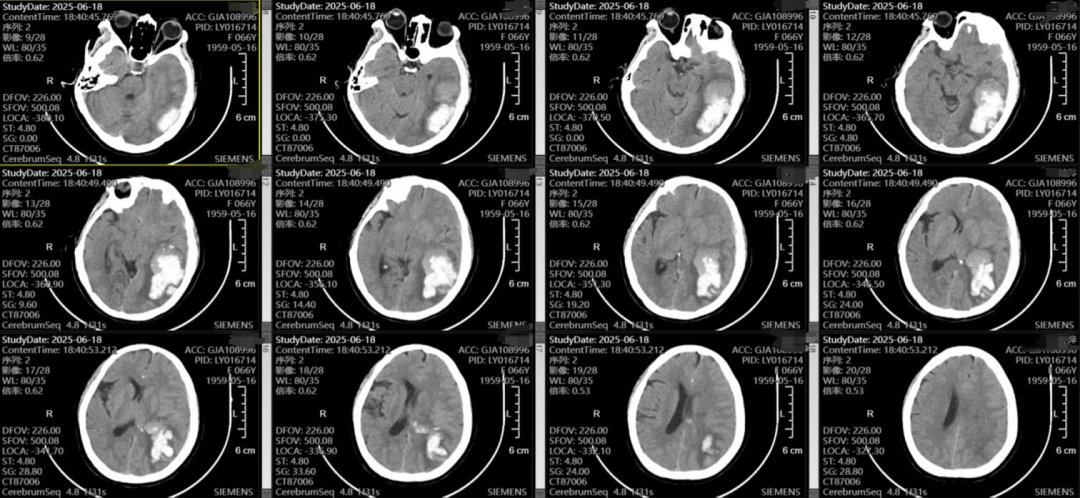
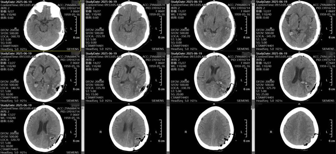
随着老龄化的加剧,脑出血的患者越来越多,不同部位的脑出血,可能因不同的原因导致,该患者左侧颞枕叶脑出血,吴全主任考虑脑血管畸形可能较高,但患者意识渐昏迷,先行血肿清除,但骨窗主要位于后枕顶部,若是去除骨瓣,不利于术后脑组织的保护,且后期需要颅骨修补,故与患者家属充分沟通后,予以骨瓣回纳,术后治疗上加强脱水,帮助患者渡过脑水肿关,患者术后第一天意识即转清楚。后期待病情平稳后在行DSA检查评估,明确此次出血是否为脑血管畸形、动脉瘤等原因导致的出血。


张德辉院长说:每一位患者的病情都是独一无二的,淮南东方总院神经外科正是深刻理解这一点,从检查诊断到制定治疗方案,再到术后康复,每一个环节都为患者量身定制。他们用专业与爱心,为患者驱散脑血管疾病的阴霾,让“脑血管无忧”不再是遥不可及的梦想,为更多家庭带来幸福与安宁。
24小时服务电话:0554-6895999纪委:0554-6895236投诉办:0554-6895132
医院地址:安徽省淮南市洞山老龙眼
Copyright © 2026淮南东方医院集团
微信公众号
手机版


微信公众号

手机版
