“咚咚锵、咚咚锵”在东方总院门诊广场前大门口,伴随着阵阵喜悦铿锵的敲锣打鼓声,从东方总院甲乳、疝外科顺利出院已快3个月的姬先生,在家属的陪同下,怀着激动的心情,特地从凤台老家赶来,将两面印有“医德高尚暖人心,医术精湛除病痛”和“关爱病人胜似亲人,医术精湛医德高尚”大字的锦旗送给东方总院孟云副院长和甲乳、疝外科全体医护人员,以表达对他们的感激之情。

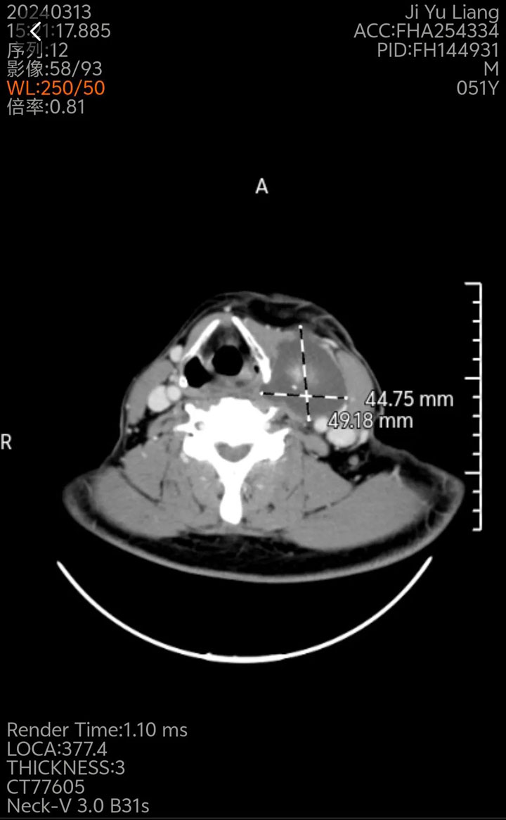
据了解,家住凤台的姬先生4个月前发现自己脖子有肿块,且出现了吞咽困难的情况,便到家门口的淮南东方医院集团凤凰医院就诊。入院后,经甲状腺彩超显示:患者甲状腺双侧叶多发结节伴钙化,TI-RADS 4类;甲状腺左叶和甲状腺偏右囊TI-RADS 3类;甲状腺左叶钙化灶,双侧颈部淋巴结;左侧颈部包块伴钙化,考虑患者可能是甲状腺恶性肿瘤。后行细针穿刺提示:患者为双侧甲状腺癌伴左侧颈部淋巴结转移。面对这样的病症,医生告诉他必须尽快采取手术治疗。


姬先生得知这一沉重的消息倍感焦虑和无助,便向医生求助。在医生的建议下,姬先生决定在东方总院手术。来到总院,孟院长仔细查看了他的病例,由于患者左侧颈部淋巴结转移多,病灶大,且左侧梨状窝及会厌溪受压,不排除侵犯可能;同时术后可能还出现梨状窝瘘等并发症,这也导致手术的难度风险增大,详细评估患者情况后,孟院长邀请了医院超声科、影像科、麻醉科等开展了MDT(多学科会诊),共同为姬先生协助制定手术方案,准备对患者行“甲状腺癌联合根治术(甲状腺全切+左侧根治性颈淋巴结清扫术)”。


术前,医生与患者及家属详细解分析病情状况,给予患者心理支持,姬先生被甲乳外科团队的专业和真诚感动,对他们充满信任,随即决定手术。一切准备就绪后,孟院长带领甲乳外科团队为患者进行“甲状腺癌联合根治术(甲状腺全切+左侧根治性颈淋巴结清扫术)”,术中孟院长为患者经过精细解剖,肿瘤达R0切除(肿瘤完全切除)。历经约3个小时的努力,手术顺利完成。

术后孟院长亲自为患者的伤口换药,在孟院长团队的精心照料下,姬先生伤口恢复很好,也无任何并发症发生。出院时,孟院长依旧十分耐心地叮嘱姬先生一些注意事项以及需要按时用药,3个月过去了,如今姬先生已完全恢复,姬先生告诉他的妻子一定要为孟院长送上锦旗。“多亏了孟院长和甲乳、疝外科的全体医护人员,我才能痊愈得那么快、那么好。我觉得光送锦旗不能完全表达出我的谢意,所以专门请了锣鼓队来热闹一下。敲锣打鼓不仅喜庆热闹有阵势,也要让更多的人知道,淮南东方医院集团的医护人员医术高,医德好。”姬先生一边感谢孟院长一边将锦旗递到孟院长手中。


红艳艳的锦旗,朴实的言语,传递的不仅是患者的感激之情,更是对东方医院集团服务品质的认可和对医护人员工作的充分肯定,这激励着我们要继续坚守医者的初心和使命,用医术和爱心为更多的患者带来健康和希望,孟院长表示:“在今后的工作中,东方医院集团普外科医疗中心甲乳、疝外科将继续发挥自身的优势,深入贯彻‘一切为了患者,为了一切患者’这一工作理念,全力以赴,以更出色的医疗服务,帮助更多需要帮助的患者!”

24小时服务电话:0554-6895999纪委:0554-6895236投诉办:0554-6895132
医院地址:安徽省淮南市洞山老龙眼
Copyright © 2026淮南东方医院集团
微信公众号
手机版


微信公众号

手机版
