夏日清晨,街头巷尾,弥漫着水汽的蒸笼后面,坐着三五成群的食客。一笼鲜嫩多汁的包子,再配上一碗热气腾腾的沙汤,家住谢家集区的钱女士(化名)美好而又平凡的一天开始了。喝完最后一口沙汤,她突然感觉有些不对劲。

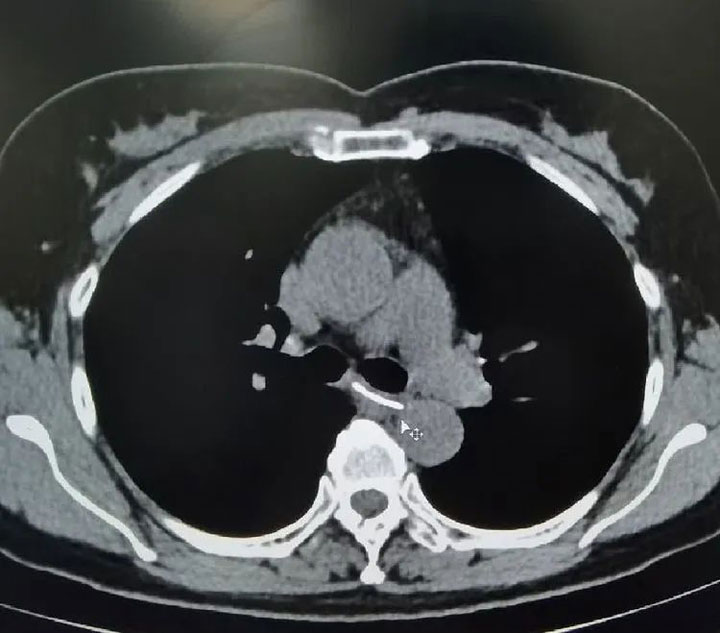
▲影像检查可见食管异物

三个小时后,她走进了广济医院消化内科诊室。“早晨吃过饭,觉得恶心、想吐,胸口堵得慌,好像什么卡住了。我就使劲喝水,结果现在不仅堵,还疼起来了。”结合钱女士的主诉,接诊医生为其查体行CT检查后,发现其食管中段异物。


明确病因后,消化内科胡焕标主任团队携手麻醉科卜美林主任,为其行“食管内异物取出术”。患者麻醉满意后,胡主任手持电子胃镜,循腔进镜至距门齿30cm见异物,予异物钳夹取异物,发现异物较脆,取出部分异物后,选择使用异物网篮,终于将异物“一网打尽”。原来,是一大块鸡蛋壳顺着沙汤不偏不倚地卡在了患者的食管中。异物取出后,钱女士的不适立刻好转。

▲内镜下患者的食管异物

▲被“一网打尽”的食管异物
无独有偶,同样发生食管异物的还有吴大爷(化名)。不久前,家人为了给吴老补身体,特地熬制了营养丰富的鸽子汤,不料,老人在喝汤时,不慎吞下一块鸽子骨头。被骨头卡住后,老人很快出现吞咽困难、呼吸困难,胸部疼痛等不适让老人面色通红、大汗淋漓,看到老人痛苦的样子,家人不敢大意,赶忙将其送至广济医院。消化内科团队和麻醉团队立即为老人急诊行“全麻胃镜下食管内异物取出术”。异物顺利取出后,老人立即转危为安。

▲取出的食管异物(鸽子骨)
食管异物指因饮食不慎,误咽异物,如枣核、鱼刺、假牙、骨头、纽扣、硬币等。多见于老人和儿童,主要的临床表现有吞咽困难、吞咽疼痛等,异物常嵌顿于食管狭窄处,若不及时取出,可引起食管炎症、脓肿、食管痿,甚至穿破大血管引起难以挽救的大出血。胡主任提醒道,一旦发生食管异物,切忌选择“吞食馒头、饭团,喝醋等土方法”。消化内科胡焕标主任介绍,广济医院消化内科今年已取出食管异物十余例,其中年纪最大的有近90岁的老人,最小的有不足2岁的幼童。

胡主任解释说:“吞饭团等方法会让异物的位置更深,加重对食管的损伤,增加异物取出的难度。喝醋试图软化鱼刺、骨头的方法并不可靠,可能还会刺激已经损伤的创面。如果吞入的是纽扣电池等物体,更要尽早取出,避免发生化学反应,损伤食管。要知道,如果食管损伤愈合不佳,可能还会出现食道狭窄等情况,造成食管永久性损伤。”不论是何种食管异物,都需要及时就医。


端午佳节将至,广济医院消化内科温馨提示,以下几点可以预防食管异物:
1.养成良好的就餐习惯,进食时细嚼慢咽,尤其进食含有骨刺类食物时;进餐时要专心,不宜嬉笑。
2.加强对高龄老人和儿童的看护,教育儿童避免将小玩具等放在口中含玩,以防不慎吞下;对于佩戴义齿者,要经常检查义齿是否松动;对全麻或昏迷病人,如有义齿,应及时取下。

24小时服务电话:0554-6895999纪委:0554-6895236投诉办:0554-6895132
医院地址:安徽省淮南市洞山老龙眼
Copyright © 2026淮南东方医院集团
微信公众号
手机版


微信公众号

手机版
