东方医院集团
胸心外科医疗中心
“没想到居然不是胃的问题,还好来你们医院看了......”多日前,素有胃疾的孙女士(化名)因上腹部隐痛加重就诊广济医院。结合查体体征和无痛胃肠镜检查结果,医生很快发现孙女士的上腹部隐痛并不是慢性胃炎造成的。


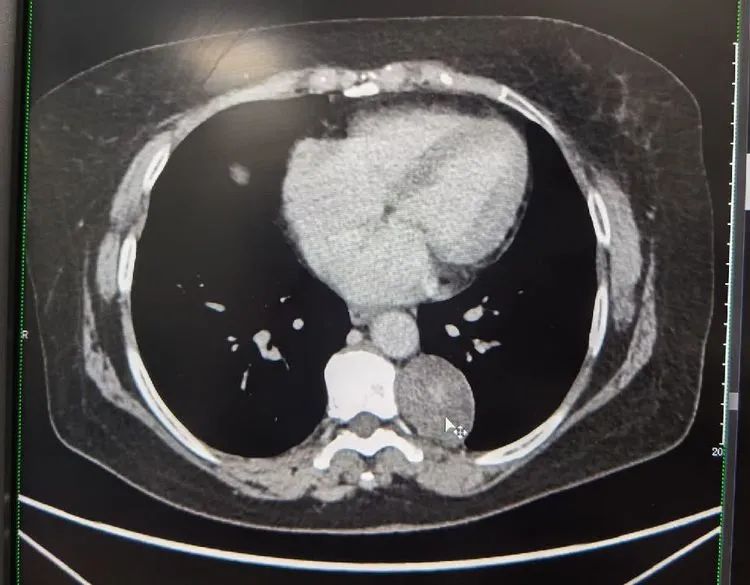
患者胸部增强CT扫描提示:见其左后纵隔旁占位,考虑神经源性肿瘤可能性大。据了解,神经源肿瘤是纵隔内常见的肿瘤之一,占纵隔肿瘤的15%~30%,大部分为良性。目前的病因及发病机制尚不明确,女性患者略多于男性,任何年龄都可以发生,但儿童神经源肿瘤恶性率较高(50%),成人在10%以下。纵隔神经源性肿瘤多发于后纵隔,多数患者无症状。部分患者可有咳嗽、气短、胸痛等症状,治疗以手术为主,放化疗为辅,其预后与肿瘤的良恶性密切相关。


结合各项检查,确诊孙女士系左后纵隔肿瘤。影像见肿块大小约45mm*36mm*48mm,术前无肺功能障碍,集团胸心外科医疗中心高涛涛院长会诊后,决定为其在全麻下行单孔胸腔镜下左侧胸纵隔占位切除术+肋间神经阻滞术。


经过全面的术前评估和充分的术前准备,高涛涛院长主刀,麻醉团队密切配合,精准定位、逐层分离。探查发现肿块与迷走神经、肋间血管关系紧密,需要保护神经、血管,仔细分离,才能保证完整切除瘤体。高院长操作熟练,不到30分钟,肿块和神经、血管顺利分离,被完整切除。不足5厘米的创口是仅有的一处切口,因为是微创操作,患者术中几乎没有出血。“手术第二天就下床了,就一个小伤口,也不怎么疼,技术真好。”创伤小、康复快、术后并发症低,各项指标良好的孙女士很快康复出院。


早在2016年,东方医院集团总院胸心外科与上海瑞金医院普胸外科全面深度合作后,率先将“胸腔镜技术”带回了淮南。紧握快速康复的“钥匙”,东方外科进入微创外科的新时代,不断发展的东方胸心外科医疗中心,将“单孔胸腔镜”技术广泛应用在心、肺、食管、胸膜等领域,伤口“无痕”,健康无忧,微创技术惠及越来越多的淮南人。


把专家请进来,把技术留下来。为了让更多的淮南人“足不出淮”就能享受到优质的医疗资源,近年来,医院集团江永强董事长持续改革,积极推动医疗惠民新举措。总院心胸外科与上海瑞金医院、南京鼓楼医院始终建立着友好协作关系,2021年11月,东方医院集团总院联合南京鼓楼医院组建了“心胸外科专科联盟”;2023年3月,邀请上海交通大学附属瑞金医院胸外科多位著名教授莅临淮南开展现场诊疗。同时东方医院超声诊断中心、疼痛科、内分泌科等科室也与上级医院建立医疗专科联盟,促进更多的优质医疗资源下沉至淮南。


24小时服务电话:0554-6895999纪委:0554-6895236投诉办:0554-68695132
医院地址:安徽省淮南市洞山老龙眼
Copyright © 2025淮南东方医院集团
微信公众号
手机版


微信公众号

手机版
