为了能够更精准解决结构性及功能性心脏病的诊疗问题,帮助医生准确诊断病情,提出最佳的治疗方案,更好的服务患者,淮南东方医院集团总医院超声诊断科引进GE Vivid 金标E95高端心血管彩超诊断系统,目前已正式投入临床使用。

金标E95心血管彩超是GE医疗高端心血管彩超。凭借全新的cSound平台冰晶探头技术、TCI(动态空间像素聚焦技术)、ACE(智能像素优化技术)以及Texture(心肌纹理成像)等先进的图像处理优化技术,Vivid E95实现了清晰图像、精准诊断、领先科研和便捷操作的完美结合。在心脏结构成像上达到了一个全新的高度,为临床提供了心脏病变的全面解决方案。


东方总院超声诊断科引进的金标E95是这一设备的顶配机型,配备有三把探头,其中经胸和经食道两把三维容积探头配合机器的强大软件平台,成就了这台金标E95科研王牌机的地位。可以开展左心室定量、左心房定量、右心室定量、四维瓣膜定量、同步化评估、心肌及左心造影等多种新项目和新技术。

▲左房内占位经食道心脏四维成像

▲房缺四维成像图

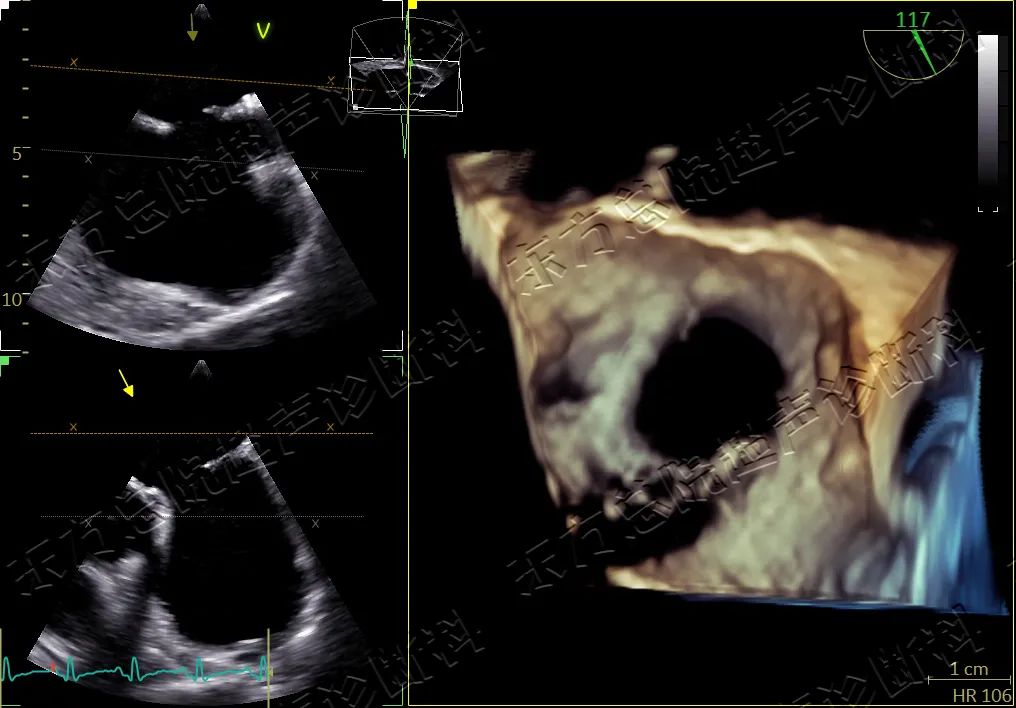
▲卵圆孔未闭动态图

▲经食道房缺动态图

▲食道心超检查
“超声就像是临床医生的眼睛”,东方总院超声诊断科翟哲主任介绍道:“心脏超声已成为临床诊断心脏疾病不可或缺的技术,为心脏疾病提供术前精确诊断和术后疗效评估,为心脏介入微创手术实现全程术中引导,为心脏外科手术跟台实现术前、术后即刻评估。为临床提供强大的技术和医疗安全保障。”

▲房缺封堵心内介入跟台

▲经食道心外科手术跟台
房间隔缺损的徐先生是受益于金标E95的第一位患者,在外院被诊断为Ⅱ孔型房缺的他来到东方总院心内科欲进行房缺介入封堵术治疗。在术前评估时,翟哲主任使用经食道三维探头发现病人房顶部及主动脉对侧残端太少,如果贸然采用房缺封堵术进行治疗,很有可能造成手术失败,导致病人出现生命危险。随后,患者转心外科,通过心外科手术为他解除了病痛。翟主任说:“引进设备以来,我们已经为多名病人进行了术前评估,仅本周我们就检查出两名左心耳血栓的病人,建议抗凝后再进行射频消融治疗,大大降低了手术风险。”


高端心脏超声诊断设备尤其是三维食道探头的投入使用,提升和开拓了检查技术及方法,为临床提供更加丰富准确的诊断信息,也为医院超声诊断技术与医学科研新技术、新业务的开展注入新的活力。今后,东方总院超声科将在高新设备的助力下,为淮南广大患者提供更加优质、便捷、高效的医疗服务。
24小时服务电话:0554-6895999纪委:0554-6895236投诉办:0554-6895132
医院地址:安徽省淮南市洞山老龙眼
Copyright © 2026淮南东方医院集团
微信公众号
手机版


微信公众号

手机版
