“我又能看见东西啦,真好!”在淮南东方总院介入科的病房里,洋溢着一片欢声笑语,75岁高龄的贾先生在接受介入科医疗中心黄旭东院长在我市开展的首例眼动脉造影+溶栓术治疗眼动脉急性栓塞手术后,拉着来查房的黄院长的手,激动地说道,“实在太感谢了,您的医术高超,淮南东方医院的介入科就是厉害!我能重获光明全靠你们!”

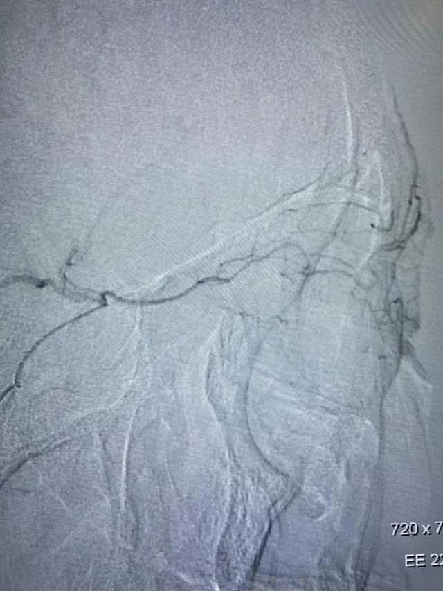
前些时候贾老先生右眼突发失明5小时,在家属陪同下,前来东方总院急诊科,1月24日晚上接到急诊会诊后,被诊断为:眼动脉栓塞导致眼动脉急性缺血引发的突发性失明,俗称“眼卒中”。黄旭东院长得知贾先生已经失明5小时了,而经皮眼动脉溶栓治疗最佳手术时间是失明后6小时以内,情况十分紧急!时间越久,失明风险越大,看着贾先生家属焦急的脸,黄院长当机立断,立即紧急启动眼动脉溶栓治疗绿色通道,为贾先生量身定制了手术方案。当天晚上,黄旭东介入团队放弃了晚上休息时间,在导管室老师们的配合帮助下,进行术前介入溶栓准备,为贾先生进行了手术。


目前,国内针对“眼卒中”主要是采取动脉顺行眼动脉介入溶栓治疗,最佳治疗时间是6小时以内,且顺行眼动脉介入溶栓经脑血管,路径长、风险大,容易造成脑出血、脑梗等问题。而贾先生的手术历时仅1个小时,就顺利完成。术后,贾先生睁开眼睛第一句话就是:“我又能看见啦!淮南东方医院介入科的专家就是厉害!”目前,贾先生视力已恢复到眼前50cm指数。




“脑卒中是大家熟知的一种疾病,对于脑卒中的常见症状和预防措施了解的也比较多,而眼卒中就相对比较陌生。”介入科医疗中心黄旭东院长介绍说:“正如脑部血液阻塞会导致卒中一样,视网膜血管急性阻塞也会导致眼部卒中,这种疾病发病急、病情重、会突然导致视力丧失,治疗不及时的话会有很大概率导致永久失明。”目前眼卒中的首选治疗方式就是溶栓治疗,东方医院集团介入科医疗中心此次眼动脉造影+溶栓术治疗眼动脉急性栓塞手术作为淮南首例,填补了此项目在当地医疗技术上的空白。

24小时服务电话:0554-6895999纪委:0554-6895236投诉办:0554-68695132
医院地址:安徽省淮南市洞山老龙眼
Copyright © 2025淮南东方医院集团
微信公众号
手机版


微信公众号

手机版
