故意吞服6枚金属纽扣后,又再次用2根长针狠狠的刺进自己的腹部!到底是什么原因让一个年仅35岁的女性对自己下如此狠手?她现在又是否被抢救回来,得到法律的制裁了呢?带着疑问笔者来到东方总院一探究竟。

7月19日,东方总院监管病房收入一名故意自我残害的患者。该患者是省外人员,因其犯罪行为被警方逮捕,经由辽宁省警方转运至东方总院公安监管病区进行诊治。

我国法律规定,有严重疾病需要保外就医的,孕或者正在哺乳自己婴儿的妇女等罪犯可以暂予监外执行,为了逃避收监,一些违法犯罪嫌疑人在被关押前,故意吞食刀片、玻璃、小铁片、针、打火机等,以谋取“保外就医”、“所外执行”、“取保候审”等。且吞食后大多拒绝就医、手术,在这种情形下,看守所往往因在羁押中可能导致生命危险而无法收押。东方总院收治的这名女性患者就是想钻这个空子,以达到保外就医、躲避刑罚的目的。

就在罪犯以为“美梦成真”,目的即将得逞的时候,现实给予了罪犯“迎头痛击”。安徽省淮南市东方医院集团总医院多年前与当地警方紧密合作,创建了公安监管病区。在这里,一边由警方实行24小时严密监管措施,一边由医院各部门配合提供高水平诊疗。该患者被协调至此后,总院监管病区医师立即开展相关诊疗工作。
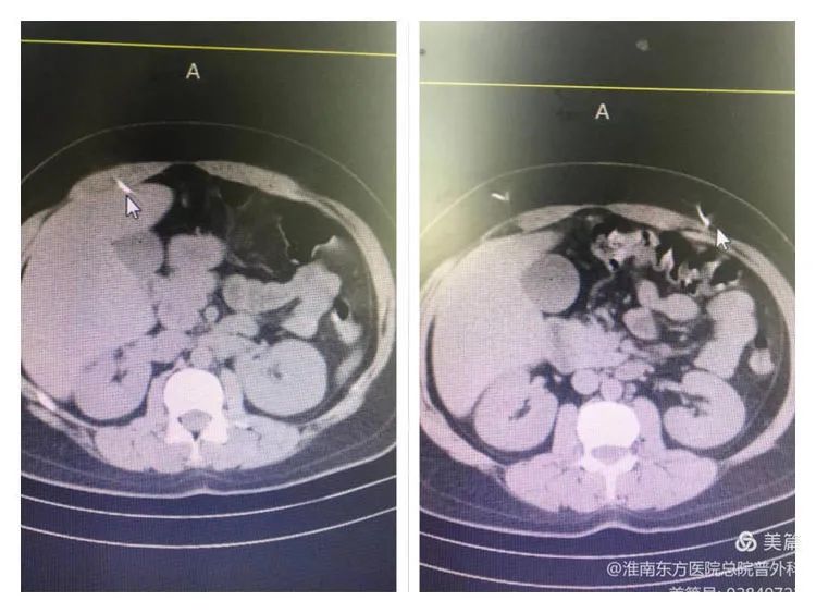
患者入院时完善CT提示,右侧腹部部分金属针刺入肝脏,左侧腹部金属针全部位于腹壁内。

众所周知,肝脏血管丰富且组织质地较为脆弱。这样一根总长约4-5cm的金属针刺入肝脏,患者活动时稍有不慎,很容易划伤肝脏导致大出血。再者,金属针刺入的过程,有没有穿透其他重要的血管、脏器,从CT上无法获得全部信息。病情紧急,患者随时面临着出血休克甚至死亡的风险。公安监管病区医生查阅CT后立即向总院普外科发出紧急会诊申请。总院普外科住院总刘明亮前往会诊后,拟诊“腹部金属异物、消化道金属异物”收入肝胆外科,并立即向普外科副主任张军汇报病人情况。张主任当即召集全科医师参与病例讨论,通过讨论,大家了解了患者本次就诊的整体情况,基本确定了手术人员、手术方式、入路选择、术中注意事项以及相关术后并发症的预防措施。

7月21日下午15点50分,术前通过C臂透视,精准定位后,总院肝胆外科副主任郝子龙、主治医师汪洋、医师张思博为患者施行“腹腔镜下肝异物去除术+腹壁异物取出术”。探查见金属异物刺入肝脏的深度约2.5cm,异物取出的过程看似简单,实则要求术者拥有丰富的手术经验,插在肝脏的金属针随着患者心跳和呼吸而上下活动,动作必须要谨慎谨慎再谨慎,不容许有任何失误。得益于三位医师默契的配合,使得金属针取出的过程非常顺利,没有对患者肝脏造成二次损伤。手术采用腹腔镜的方式,较传统术式相比,具有切口小、愈合后不会留下显著疤痕,创伤小及术后恢复快等优点。

至此,患者体内异物取出后,迎接她的将是执法部门沉重的铁拳。罪犯也将得到其应有的惩罚。正义不会迟到,审判终将降临!医警协作彻底把这一类罪犯利用该行为逃避惩罚的美梦扼杀在摇篮中!
淮南东方医院集团总医院在江永强董事长的带领下将继续深化与警方的紧密联系,持续加深合作建设具有特色的公安监管病区。

24小时服务电话:0554-6895999纪委:0554-6895236投诉办:0554-6895132
医院地址:安徽省淮南市洞山老龙眼
Copyright © 2026淮南东方医院集团
微信公众号
手机版


微信公众号

手机版
