
近日,淮南东方总院胸心外科成功为一位肺部肿瘤患者实施完成“肺癌根治、肺动脉成型、上腔静脉部分切除、自体心包腔静脉修补手术”。
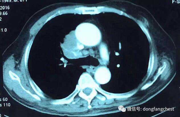
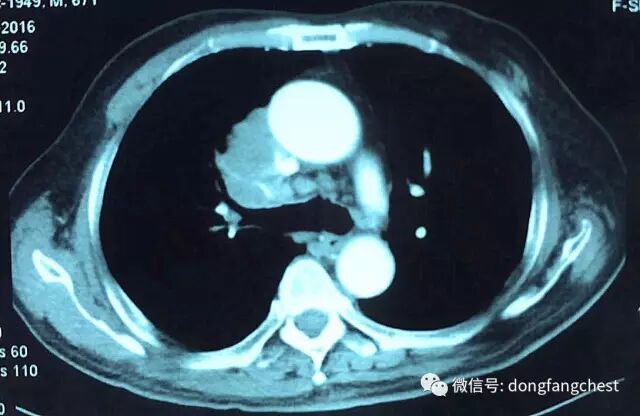
年近70岁的李老爷子,反复咳嗽了一个月不见好,于2016年12月在东方总院拍CT,检查发现”右肺上叶恶性肿瘤“。


由于肿瘤体积较大,且与肺动脉、上腔静脉关系紧密,手术实施起来较为困难,经过东方总院多学科讨论会诊,决定先于呼吸内科进行了2个疗程新辅助化疗。


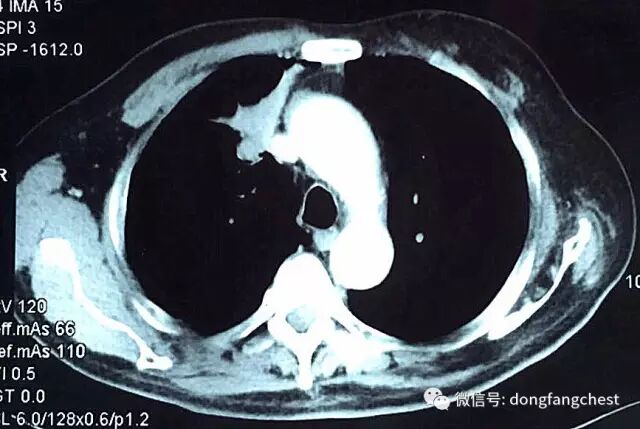
化疗后,李老体内的肿瘤体积明显缩小,随后于2月22日进入总院心胸外科进行手术治疗。手术由总院胸外科朱胜主任、王鸿副主任、高涛涛医生共同完成。术中发现肿瘤侵犯右肺动脉干、上腔静脉部分血管壁。术中,经上腔静脉远端、右心房插管转流,阻断受肿瘤侵犯部位腔静脉后予以部分血管壁切除,然后取心包组织进行上腔静脉修补重建。

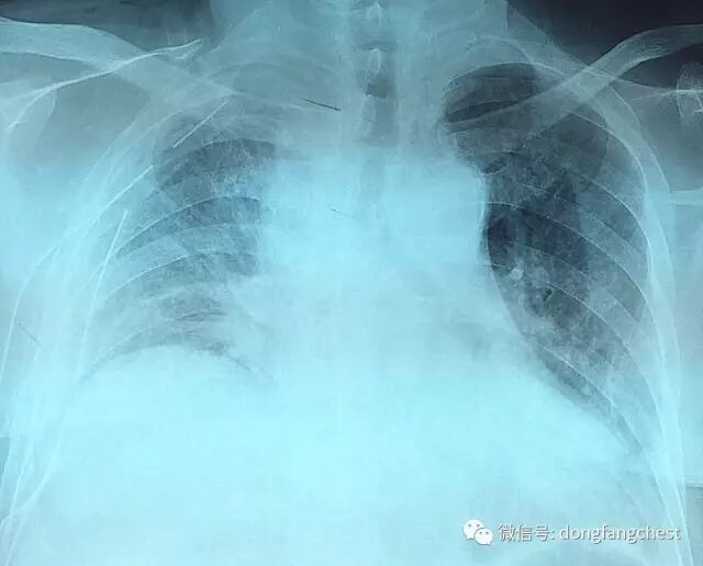
手术后胸片肺复张良好,可以自主生活,状态平稳,待明天拆线后,即可出院。
据朱胜主任介绍,此类手术对软硬件条件都有着极高的要求,可以说是四类手术中的四类手术。此类高难度手术的成功完成是东方总院心胸外科在手术技术能力上的又一次进步。

24小时服务电话:0554-6895999纪委:0554-6895236投诉办:0554-6895132
医院地址:安徽省淮南市洞山老龙眼
Copyright © 2026淮南东方医院集团
微信公众号
手机版


微信公众号

手机版
